Rapid detection of Singapore grouper iridovirus by a recombinase polymerase amplification combined with lateral flow dipstick
-
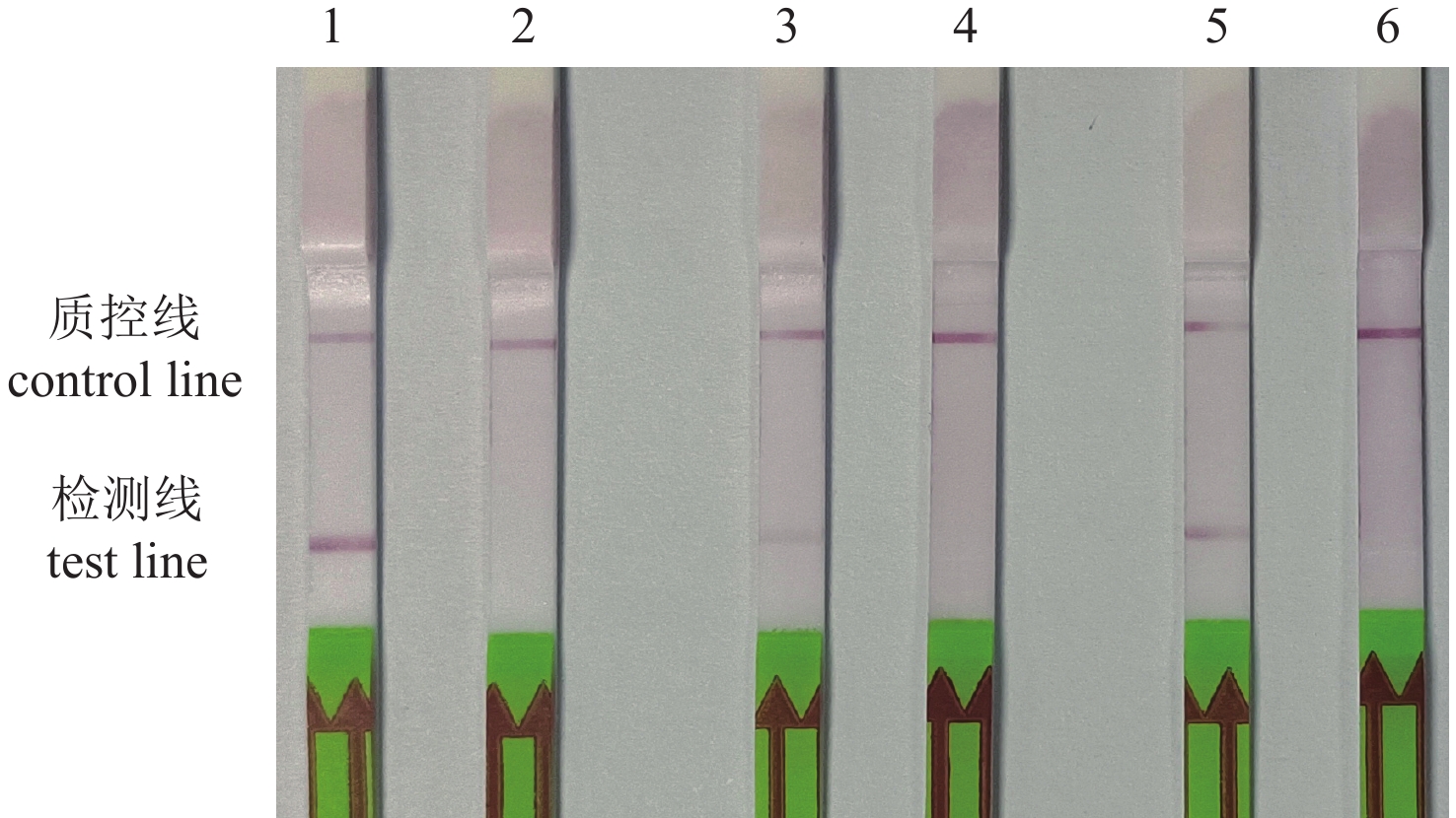
摘要: 为建立一种快速灵敏、可视化的适用于临床样品检测新加坡石斑鱼虹彩病毒 (Singapore grouper iridovirus,SGIV)的方法,本研究针对SGIV特异基因ORF014L序列设计特异性引物及探针,建立重组酶聚合酶扩增 (recombinase polymerase amplification,RPA)技术及结合侧流层析试纸条 (lateral flow dipstick,LFD) (RPA-LFD)的SGIV检测技术。RPA反应使用10 μmol/L的引物浓度,在40.1 °C恒温反应20 min即可完成特异性病毒的检测,最低检测限为102 个/μL标准质粒。RPA-LFD反应在42 °C恒温反应8 min可将检测结果通过试纸条可视化呈现,最低检测限为101 个/μL标准质粒,且不与其他常见水生动物病原发生交叉反应,临床样品检测结果也与PCR检测结果一致。RPA、RPA-LFD均能特异性检测SGIV,两者的检测限均比常规PCR灵敏。RPA-LFD法具有快捷简单、结果可视化的特点,在临床应用具有较好的应用前景。
-
关键词:
- 新加坡石斑鱼虹彩病毒 /
- ORF014L基因 /
- 重组酶聚合酶扩增 /
- 侧流层析试纸条 /
- 可视化
Abstract: Singapore grouper iridovirus (SGIV), a novel species of Ranavirus, caused more than 90% mortality in larval and juvenile groupers. Up to now, there is still a lack of effective prevention and control strategies for SGIV. Therefore, it is essential to develop convenient diagnostic methods for filed detection of SGIV without special equipment. In this study, to establish a rapid, sensitive and visualized method for the detection of SGIV in clinical samples, specific primers and probes were designed by targeting the SGIV ORF014L, and a recombinase polymerase amplification (RPA) technique combined with lateral flow dipstick (LFD) (RPA-LFD) was developed for the detection of SGIV. The results showed that the RPA reaction specifically detected target fragment of SGIV within 20 min at 40.1 °C with the lowest detection limit of 102 copies/μL. The RPA-LFD reaction at a constant temperature of 42 °C for 8 min was able to visualize the results on the test strips with the lowest detection limit of 101 copies/μL, and showed no cross-reaction with other common aquatic pathogens. The coincidence rate of positive test of clinical samples was consistent between RPA-LFD and PCR methods. Both RPA and RPA-LFD could specifically detect SGIV with lower limit than conventional PCR assay. Taken together, RPA-LFD assay developed in the present study provides a convenient, specific, sensitive and visualized method for on-site rapid detection of SGIV without special equipment. -
-
表 1 实验相关引物及探针序列信息
Table 1. Sequence information of primers and probes used in this study
名称
name序列 (5′-3′)
sequence(5′-3′)014-104F TCCGACTATCAATCAAACGTCATCGCCTCG 014-104R
014-165FCACCCGTTGTCGCAGTTTCGTATAGACCC
CAAGTGACGACCGAACACCGGCTACCAGC014-165R AGCCATCGAACCCGTAGTCATATTGTGGA 014-271F GCTACCAGCATCCAATTCTCACGCAAGAT 014-271R GGCGATGACGTTTGATTGATAGTCGGAAA 014-348F
014-348RGCTACCAGCATCCAATTCTCACGCAAGAT
CACCCGTTGTCGCAGTTTCGTATAGACCCprobe (FAM)-AGCATCCAATTCTCACGCAAGATGGCCCGT-
(THF)-GAAGTCAGTTTCTATTC-(C3spacer)R1 (biotin)-CACCCGTTGTCGCAGTTTCGTATAGACCC R2 (biotin)-AGGCGATGACGTGTGATTGATAGTCTGAAA R3 (biotin)-CGCATGTCGACCGAGGCGATGACGTTTGAT PCR-266F AGCACAAGTTTCCTCCCG PCR-266R ACACCCGTTGTCGCAGTT pcDNA3.1-3×HA-ORF014-F CTTGGTACCGAGCTCATGTATAGAGGATTTTCTTTAA pcDNA3.1-3×HA-ORF014-R GCCCTCTAGACTCGA TATGTACACCCGTTGTC -
[1] Qin Q W, Chang S F, Ngoh-Lim G H, et al. Characterization of a novel ranavirus isolated from grouper Epinephelus tauvina[J]. Diseases of Aquatic Organisms, 2003, 53(1): 1-9. doi: 10.3354/dao053001
[2] Chinchar V G, Waltzek T B, Subramaniam K. Ranaviruses and other members of the family Iridoviridae: their place in the virosphere[J]. Virology, 2017, 511: 259-271. doi: 10.1016/j.virol.2017.06.007
[3] Qin Q W, Lam T J, Sin Y M, et al. Electron microscopic observations of a marine fish iridovirus isolated from brown-spotted grouper, Epinephelus tauvina[J]. Journal of Virological Methods, 2001, 98(1): 17-24. doi: 10.1016/s0166-0934(01)00350-0
[4] Qin Q W, Wu T H, Jia T L, et al. Development and characterization of a new tropical marine fish cell line from grouper, Epinephelus coioides susceptible to iridovirus and nodavirus[J]. Journal of Virological Methods, 2006, 131(1): 58-64. doi: 10.1016/j.jviromet.2005.07.009
[5] Huang C H, Zhang X B, Gin K Y H, et al. In situ hybridization of a marine fish virus, Singapore grouper iridovirus with a nucleic acid probe of major capsid protein[J]. Journal of Virological Methods, 2004, 117(2): 123-128. doi: 10.1016/j.jviromet.2004.01.002
[6] Qin Q W, Gin K Y H, Lee L Y, et al. Development of a flow cytometry based method for rapid and sensitive detection of a novel marine fish iridovirus in cell culture[J]. Journal of Virological Methods, 2005, 125(1): 49-54. doi: 10.1016/j.jviromet.2004.12.005
[7] Liu W T, Zhu L, Qin Q W, et al. Microfluidic device as a new platform for immunofluorescent detection of viruses[J]. Lab on a Chip, 2005, 5(11): 1327-1330. doi: 10.1039/B509086E
[8] Mao X L, Zhou S, Xu D, et al. Rapid and sensitive detection of Singapore grouper iridovirus by loop-mediated isothermal amplification[J]. Journal of Applied Microbiology, 2008, 105(2): 389-397. doi: 10.1111/j.1365-2672.2008.03761.x
[9] Li P, Zhou L, Wei J, et al. Development and characterization of aptamer-based enzyme-linked apta-sorbent assay for the detection of Singapore grouper iridovirus infection[J]. Journal of Applied Microbiology, 2016, 121(3): 634-643. doi: 10.1111/jam.13161
[10] Liu J X, Zhang X Y, Zheng J Y, et al. A lateral flow biosensor for rapid detection of Singapore grouper iridovirus (SGIV)[J]. Aquaculture, 2021, 541: 736756. doi: 10.1016/j.aquaculture.2021.736756
[11] Piepenburg O, Williams C H, Stemple D L, et al. DNA detection using recombination proteins[J]. PLoS Biology, 2006, 4(7): e204. doi: 10.1371/journal.pbio.0040204
[12] 郭正洋, 刘钟栋, 刘小青, 等. 重组酶聚合酶扩增技术的研究进展[J]. 食品科技, 2018, 43(9): 55-59.
Guo Z Y, Liu Z D, Liu X Q, et al. Research progress of recombinase polymerase amplification[J]. Food Science and Technology, 2018, 43(9): 55-59 (in Chinese).
[13] 兰海鸥, 柯义强, 马咸莹, 等. 重组酶聚合酶等温扩增技术在食品安全检测领域的应用[J]. 食品与发酵工业, 2019, 45(14): 233-238.
Lan H O, Ke Y Q, Ma X Y, et al. Application of recombinase-polymerase mediated isothermal amplification in food safety analysis[J]. Food and Fermentation Industries, 2019, 45(14): 233-238 (in Chinese).
[14] Daher R K, Stewart G, Boissinot M, et al. Recombinase polymerase amplification for diagnostic applications[J]. Clinical Chemistry, 2016, 62(7): 947-958. doi: 10.1373/clinchem.2015.245829
[15] Fu R X, Du W L, Jin X Y, et al. Microfluidic biosensor for rapid nucleic acid quantitation based on hyperspectral interferometric amplicon-complex analysis[J]. ACS Sensors, 2021, 6(11): 4057-4066. doi: 10.1021/acssensors.1c01491
[16] Jin X Y, Fu R X, Du W L, et al. Rapid, highly sensitive, and label-free pathogen assay system using a solid-phase self-interference recombinase polymerase amplification chip and hyperspectral interferometry[J]. Analytical Chemistry, 2022, 94(6): 2926-2933. doi: 10.1021/acs.analchem.1c04858
[17] Wang Y H, Wang Q, Bergmann S M, et al. Development and comparative evaluation of real-time PCR and real-time RPA assays for detection of tilapia lake virus[J]. Molecular and Cellular Probes, 2021, 60: 101776. doi: 10.1016/j.mcp.2021.101776
[18] Tamer C, Benkaroun J, Kurucay H N, et al. Development of a recombinase polymerase amplification assay for viral haemorrhagic septicemia virus[J]. Journal of Fish Diseases, 2022, 45(8): 1065-1071. doi: 10.1111/jfd.13629
[19] Preena P G, Kumar T V A, Johny T K, et al. Quick hassle-free detection of cyprinid herpesvirus 2 (CyHV-2) in goldfish using recombinase polymerase amplification-lateral flow dipstick (RPA-LFD) assay[J]. Aquaculture International, 2022, 30(3): 1211-1220. doi: 10.1007/s10499-021-00806-2
[20] Prescott M A, Reed A N, Jin L, et al. Rapid detection of cyprinid herpesvirus 3 in latently infected koi by recombinase polymerase amplification[J]. Journal of Aquatic Animal Health, 2016, 28(3): 173-180. doi: 10.1080/08997659.2016.1185048
[21] Cong F, Zeng F W, Wu M L, et al. Development of a real-time reverse transcription recombinase polymerase amplification assay for rapid detection of spring viremia of carp virus[J]. Molecular and Cellular Probes, 2020, 50: 101494. doi: 10.1016/j.mcp.2019.101494
[22] Wang Y, Chen Y K, Tang Y X, et al. A recombinase polymerase amplification and Pyrococcus furiosus Argonaute combined method for ultra-sensitive detection of white spot syndrome virus in shrimp[J]. Journal of Fish Diseases, 2023, 46(12): 1357-1365. doi: 10.1111/jfd.13853
[23] Wang H, Zhou S T, Wen J X, et al. A real-time reverse-transcription isothermal recombinase polymerase amplification assay for the rapid detection of genotype III grass carp (Ctenopharyngodon idella) reovirus[J]. Journal of Virological Methods, 2020, 277: 113802. doi: 10.1016/j.jviromet.2019.113802
[24] Soliman H, El-Matbouli M. Rapid detection and differentiation of carp oedema virus and cyprinid herpes virus-3 in koi and common carp[J]. Journal of Fish Diseases, 2018, 41(5): 761-772. doi: 10.1111/jfd.12774
[25] Song W J, Qin Q W, Qiu J, et al. Functional genomics analysis of Singapore grouper iridovirus: complete sequence determination and proteomic analysis[J]. Journal of Virology, 2004, 78(22): 12576-12590. doi: 10.1128/JVI.78.22.12576-12590.2004
[26] Zhao Z N, Huang Y H, Liu C C, et al. Near-atomic architecture of Singapore grouper iridovirus and implications for giant virus assembly[J]. Nature Communications, 2023, 14(1): 2050. doi: 10.1038/s41467-023-37681-9
[27] Ou-Yang Z L, Wang P R, Huang X H, et al. Immunogenicity and protective effects of inactivated Singapore grouper iridovirus (SGIV) vaccines in orange-spotted grouper, Epinephelus coioides[J]. Developmental & Comparative Immunology, 2012, 38(2): 254-261. doi: 10.1016/j.dci.2012.07.004
[28] Wang Y X, Xu S F, Han C Z, et al. Modulatory effects of curcumin on Singapore grouper iridovirus infection-associated apoptosis and autophagy in vitro[J]. Fish & Shellfish Immunology, 2022, 131: 84-94.
[29] 刘泽天, 张馨, 黄晓红, 等. 石斑鱼虹彩病毒病发生风险评估模型的建立和验证[J]. 水产学报, 2022, 46(1): 85-94.
Liu Z T, Zhang X, Huang X H, et al. Mechanism of oligochitosan improving non-specific immunity of Epinephelus fuscoguttatus(♀)×E. lanceolatu(♂)[J]. Journal of Fisheries of China, 2022, 46(1): 85-94 (in Chinese).
[30] 楚馨, 冯梓钊, 姜有声, 等. 重组酶聚合酶扩增技术结合侧向流动试纸条快速检测锦鲤疱疹病毒[J]. 水生生物学报, 2023, 47(6): 866-873. doi: 10.7541/2023.2022.0226
Chu X, Feng Z Z, Jiang Y S, et al. Rapid visual detection of KHV by recombinase polymerase amplification (RPA) combined with a lateral flow dipstick (LFD)[J]. Acta Hydrobiologica Sinica, 2023, 47(6): 866-873 (in Chinese). doi: 10.7541/2023.2022.0226
[31] Wang L, Zhao P P, Si X X, et al. Rapid and specific detection of Listeria monocytogenes with an isothermal amplification and lateral flow strip combined method that eliminates false-positive signals from primer-dimers[J]. Frontiers in Microbiology, 2020, 10: 2959. doi: 10.3389/fmicb.2019.02959
[32] Sharma N, Hoshika S, Hutter D, et al. Recombinase-based isothermal amplification of nucleic acids with self-avoiding molecular recognition systems (SAMRS)[J]. ChemBioChem, 2014, 15(15): 2268-2274. doi: 10.1002/cbic.201402250
[33] Wu H H, Zhao P P, Yang X H, et al. A recombinase polymerase amplification and lateral flow strip combined method that detects Salmonella enterica serotype typhimurium with no worry of primer-dependent artifacts[J]. Frontiers in Microbiology, 2020, 11: 1015. doi: 10.3389/fmicb.2020.01015
[34] Dong Y, Zhao P P, Chen L, et al. Fast, simple and highly specific molecular detection of Vibrio alginolyticus pathogenic strains using a visualized isothermal amplification method[J]. BMC Veterinary Research, 2020, 16(1): 76. doi: 10.1186/s12917-020-02297-4
下载:
